Nello studio dentistico e’ la branca dell’odontoiatria che si occupa della prevenzione, diagnosi e trattamento di malattie dello spazio interno dell’elemento dentario.
La devitalizzazione o cura canalare eseguita nello studio dentistico, consiste nella rimozione della polpa dentale e dei residui batterici presenti nel canale radicolare, nella disinfezione e allargamento dello stesso e conseguente riempimento con materiale inerte.
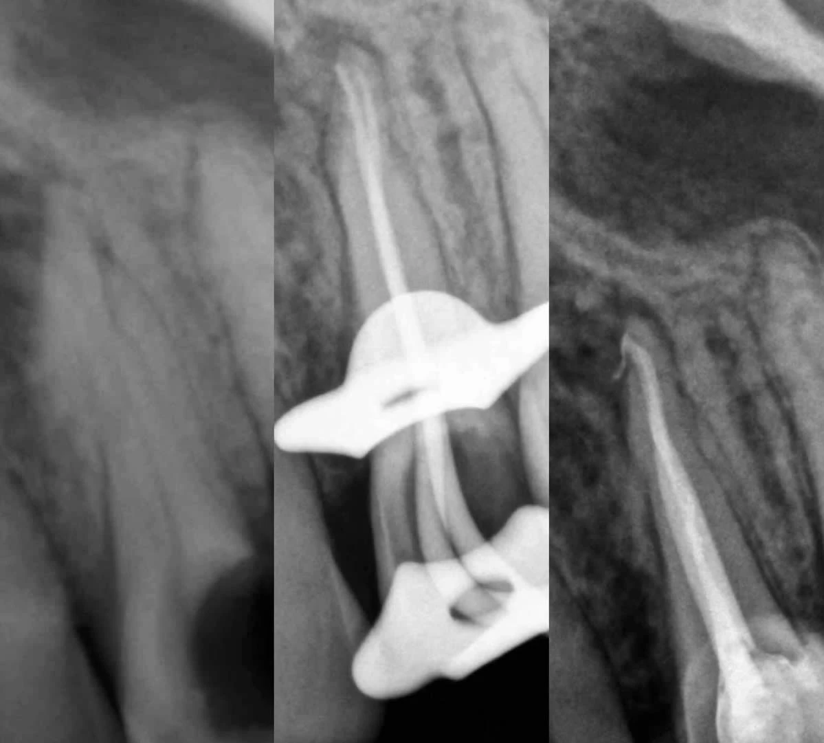
Si ricorre alla terapia endodontica quando il dente risulta danneggiato da processi cariosi molto profondi, traumi o altre cause, i batteri e le loro tossine penetrano nella polpa dentale determinando un’ infiammazione della polpa (nervo) che è molto dolorosa ( pulpite) . Se tale situazione, non viene trattata con la cura canalare, può formarsi un’infiammazione all’apice della radice del dente spesso associata a dolore e gonfiore (ascesso). Nei casi in cui il paziente non avverte alcun dolore, le tossine rilasciate dai germi possono creare dei processi infiammatori all’apice radicolare (granulomi, cisti), causando, nei casi clinici più gravi la perdita dell’elemento dentale.


