Lo studio dentistico è in grado di fornire ai propri pazienti tutte le specialità odontoiatriche quali conservativa, parodontologia, estetica dentale, protesi fissa e rimovibile, chirurgia orale ed implantologica oltre igiene e profilassi dentale, pedodonzia , ortodonzia e gnatologia.
Nello studio dentistico e’ la branca dell’odontoiatria che si occupa della prevenzione, diagnosi e trattamento di malattie dello spazio interno dell’elemento dentario.
Nello studio dentistico è la branca dell’ odontoiatria che si occupa sella cura delle carie dentaria mediante l’ eliminazione del tessuto dentale malato e la ricostruzione del dente per il ripristino di una corretta anatomia ed un appropriato rapporto occlusale.
Nello studio dentistico l’implantologia è la branca dell’ odontoiatria che si occupa della riabilitazione funzionale(denti mancanti) attraverso l’uso di impianti osteointegrati.
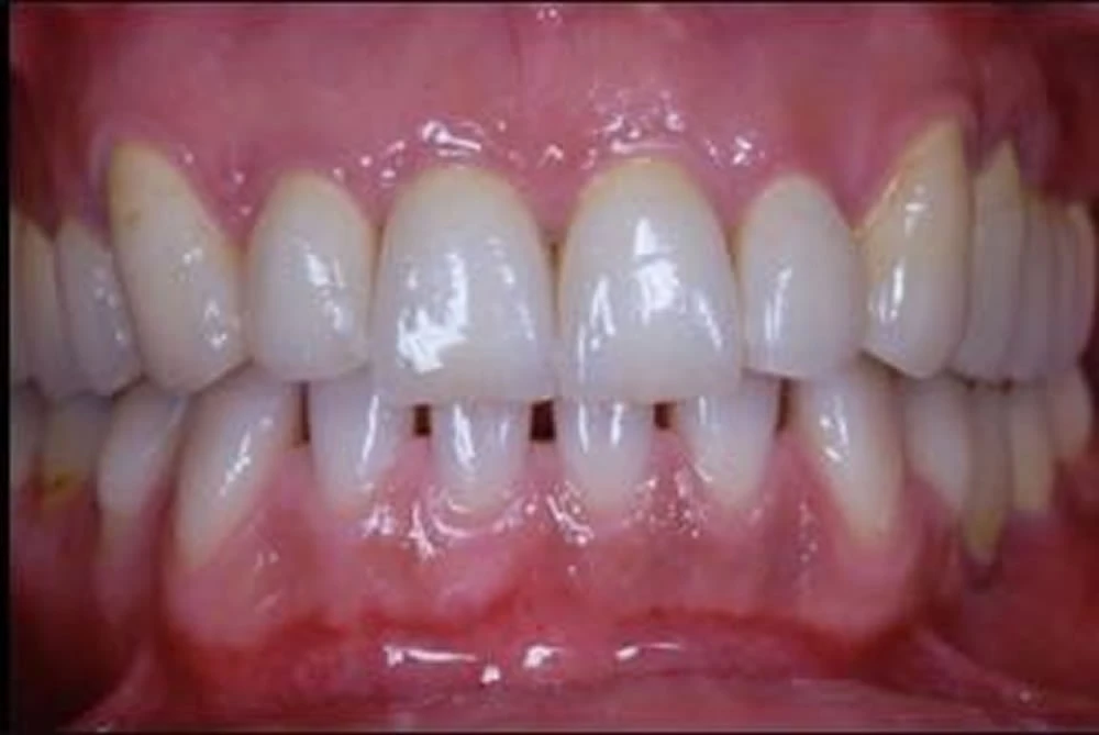
Nello studio dentistico la parodontologia è quella branca dell’odontoiatria che si occupa dell’insieme dei tessuti gengivali e ossei e dei tessuti di sostegno dei denti colpiti dalla parodontite ( nei casi più gravi piorrea).
Una scrupolosa e meticolosa igiene orale domiciliare ( spazzolatura, filo e scovolino interdentali) e professionale è il presupposto fondamentale per preservare l’ integrità della bocca.
Nell studio dentistico si eseguono trattamenti di sbiancamento dentale secondo le più recenti tecniche approvate dalla comunità scientifica internazionale.
Nello studio dentistico la moderna odontoiatria è in grado di soddisfare oggi le più sofisticate richieste inerenti l’estetica e la funzione dell’apparato masticatorio e del sorriso.
Nello studio dentistico la gnatologia è quella branca della odontoiatria che si occupa dello studio, della valutazione e della terapia dei disordinicranio-cervico-mandibolari.
Nello studio dentistico la protesi è quella branca dell’ odontoiatria che si occupa del recupero di elementi dentali gravemente compromessi, e del ripristino della corretta morfologia e rapporto occlusale delle arcate.