Nello studio dentistico la moderna odontoiatria è in grado di soddisfare oggi le più sofisticate richieste inerenti l’estetica e la funzione dell’apparato masticatorio e del sorriso.
Sempre più frequentemente il ripristino di un’estetica facciale ottimale rappresenta l’obiettivo prioritario di coloro che si accostano alla terapia ortodontica.
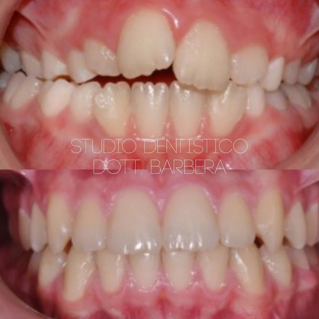
Una forma, dimensione e posizione alterata dei denti visibili durante il movimento di apertura delle labbra possono talvolta peggiorare notevolmente l’aspetto estetico dell’ovale del viso nonché la sua espressione. Nel nostro studio l’ortodonzia nell’adulto ricopre una grande importanza come ausilio nelle riabilitazioni proteiche complesse
La finalità del trattamento ortodontico è Il raggiungimento di una corretta occlusione in armonia morfo-funzionale con l’apparato stomatognatico, una dentatura e parodonto sani, una stabilità duratura.
Il risultato si ottiene mediante l’uso dell'apparecchio ortodontico fisso ,che può essere incollato o cementato ai denti (ortodonzia fissa), o quello mobile, applicato e rimosso dal paziente (ortodonzia mobile).
Oggi sta prendendo sempre più piede l’ortodonzia invisibile (INVISALIGN) termine di recente definizione, con cui s'intende un approccio dei disallineamenti dentali con apparecchi che non si notano quando vengono portati, utilizzando diverse e susseguenti mascherine pressoché impercettibili all’ osservazione del paziente.


